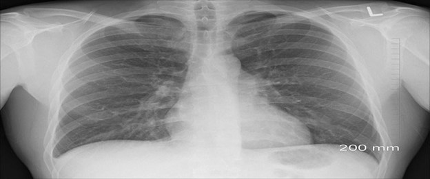
Asbestosis y Silicosis

Desde 1986, el Departamento Estatal de Servicios de Salud (DSHS) de Texas ha realizado un seguimiento de la asbestosis y la silicosis en el estado. La asbestosis es una enfermedad pulmonar fibrótica crónica. Se produce por la inhalación prolongada de fibras de asbesto respirables. La silicosis es una enfermedad respiratoria. Se produce por la inhalación prolongada de polvo de sílice cristalina respirable.
El DSHS supervisa la asbestosis y la silicosis utilizando datos de:
- informes de casos realizados por proveedores de atención médica,
- información de altas hospitalarias,
- registros de certificados de defunción.
El Programa de Vigilancia de la Salud Ocupacional del DSHS utiliza estos datos para:
- identificar las tendencias de la enfermedad,
- recomendar acciones preventivas,
- proteger la salud de los trabajadores y las comunidades de Texas.
El Programa de Vigilancia de la Salud Ocupacional opera conforme a las leyes estatales:
Norma 99.1, capítulo 99, parte 1, título 25 del Código Administrativo de Texas (TAC)
Los enlaces externos a otros sitios son solo para propósitos informativos y no están respaldados por el Departamento Estatal de Servicios de Salud de Texas. Asimismo, dichos sitios pueden no ser accesibles a las personas con discapacidades.
La ley de Texas exige la notificación de enfermedades profesionales específicas al Departamento Estatal de Servicios de Salud de Texas (DSHS).
Información y recursos