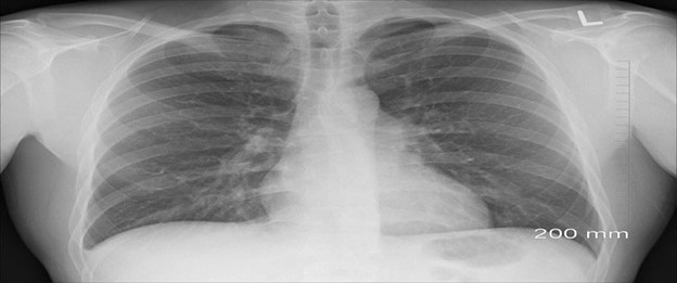
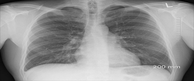
Asbestosis and Silicosis

Since 1986, the Texas Department of State Health Services (DSHS) has tracked asbestosis and silicosis in the state of Texas. Asbestosis is a chronic, fibrotic lung disease. It occurs from long-term inhalation of respirable asbestos fibers. Silicosis is a respiratory disease. It occurs from long-term inhalation of respirable crystalline silica dust.
DSHS monitors asbestosis and silicosis using data from:
- Case reports by health care providers,
- Hospital discharge information, and
- Death certificate records.
The DSHS Occupational Health Surveillance Program uses this data to:
- Identify disease trends,
- Recommend preventive actions, and
- Protect health of workers and communities in Texas.
The Occupational Health Surveillance Program operates under state laws:
Texas Administrative Code, Title 25, Part 1, Chapter 99, Rule 99.1
External links to other sites are intended to be informational and do not have the endorsement of the Texas Department of State Health Services. These sites may also not be accessible to people with disabilities.
Texas law requires reporting of specific occupational diseases to the Texas Department of State Health Services (DSHS).